A list of Rome’s best tattoo artists specialising in all styles, from traditional watercolour to tribal. Here is a list of the best talented tattoo artist...
Have you ever felt like love can never just be easy and simple? It’s great when it does feel natural and easy, but even then you will inevitably run into ...
Though we first heard the name of Zhavia in 2018, this music artist has already managed to win hearts of many people around the world. She is most known a...
Today, Ashley Benson is most famed for starring in Pretty Little Liars television series but she is likely to be one of the top Hollywood actresses pretty...
After making her acting introduction in an episode of the HBO romantic comedy-drama Sex and the City (1998-2004), Kat Dennings has since starred in films ...
Party on the parade route! Reserve a table of 4 or bar seats for exclusive access to the restaurant and patio, open buffet, and drinks. The parade rolls…
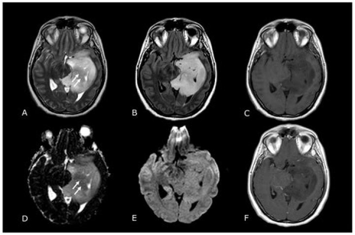
For a very long time, Brad Paisley’s fans have worried that he is ill. His struggle with brain tumors has come to light online, causing chaos among his fa...